/ 阿哲與珊醫師
阿哲是珊醫師在高醫的學弟,小時候曾經做過矯正,但只調整了上排牙齒。由於阿哲前牙反咬、後牙是典型的第三類咬合,外觀上就是俗稱戽斗。帥氣如他並不擔心外觀,倒是有點擔心自己的咀嚼功能是否會不夠健全,因而影響到老年生活 (果然是有遠見的青年
就這樣開始了阿哲的矯正之路~~阿哲的第一系列牙套多達 91 副! 但他一路安安穩穩非常配合的戴完,第二系列只是稍作咬合調整療程就順利結束囉!

/ 主訴
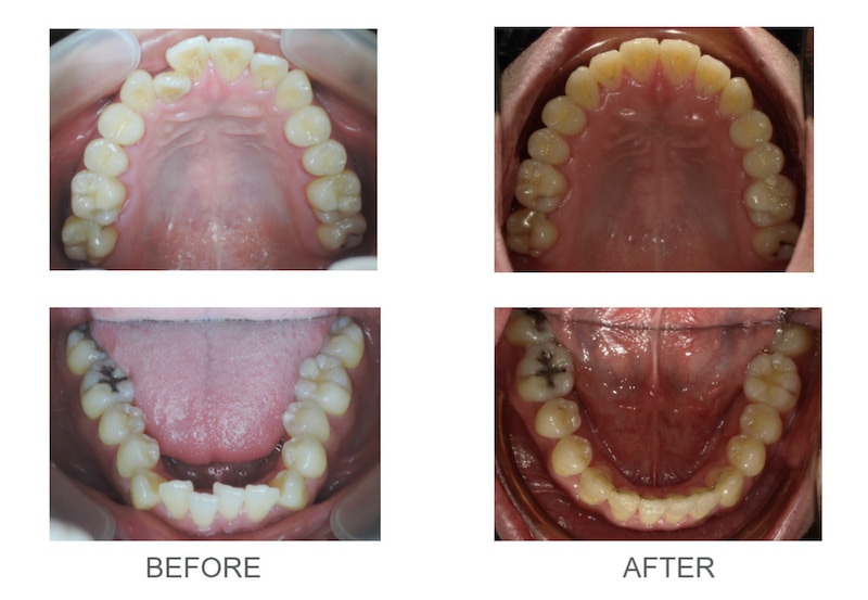
前牙反咬、後牙第三類咬合(戽斗) 、牙齒擁擠
/ 治療方式
上排擴張、下排搭配橡皮筋整排後退,矯正過程中以彈舌訓練舌根肌肉力量
隱適美矯正牙齒過程
牙齒矯正前後外觀及牙齒變化


希望矯正完又更像宥勝的阿哲,能早日傳來好消息囉!
備註:療程效果因個人狀況而有所差異,請諮詢專業醫師為您制定合適的療程。


