小然因為輕微戽斗下巴看起來較長,加上左上高犬齒(俗稱虎牙)及右上小臼齒凹陷情況嚴重(甚至不在正常齒列上),而來諮詢隱適美矯正。在不想做正顎手術的情況下,選擇透過拔除4顆小臼齒製造空間後退的方式矯正。
小然的狀況非常特殊,除了最在意的下巴過長以外,還伴隨一些複雜的地方,比如右上第二大臼齒Scissors bite(剪刀咬合)──也就是完全錯位的咬合,光是單顆的矯正就非常耗時間。
還好她的右上的智齒完整性高,經過討論過後決定拔除讓狀況變複雜的第二大臼齒排齊牙齒就好,也就是用智齒往前取代第二大臼齒。
除了以上狀況,小然還特別在意大笑時會露出牙齦,不過在矯正完成,輪廓線內縮後牙齦也自然改善了,臉型也變得更為平衡。
即使看似困難的案例,但只要病人願意配合,效果常常好得超乎預期!

牙齒矯正原因
輕微戽斗、左上犬齒突出、笑露牙齦、牙齒凌亂擁擠、後牙錯咬(剪刀咬合)
如何改善/治療方式
針對牙齒擁擠度非常高的狀況,在不想做正顎手術的情況下,我們採用拔除小臼齒,加上骨釘來得到最好的矯正效果:
1. 拔牙
此案例因牙齒擁擠度非常高,必須拔除上下四顆小臼齒來創造空間。小臼齒拔除以後,前牙會依序往小臼齒空間移動,進而達到排整齊及牙齒後退的效果。
當牙齒後退量夠,會一併改善側臉輪廓線及笑牙齦露出比較多的問題;另外,拔除錯咬的右上第二大臼齒,直接以旁邊健康智齒往前移動來取代第二大臼齒,降低矯正治療時間。
2. 骨釘TAD
此案例空間非常不足,為了讓上述提到的“拔小臼齒得到的空間”完全發揮功用,也就是前牙完全往後退,而不是後牙被往前拉,因此必須增加後方的錨定(anchorage)力量。
簡單來說,骨釘將放置在後方齒槽骨上,如同船隻拋下錨以固定位置的原理,輔助前牙穩定往後方移動。
隱適美矯正牙齒過程
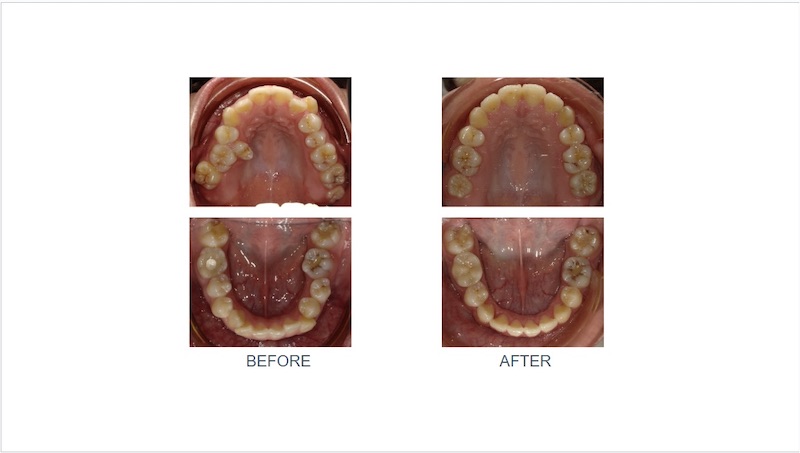
牙齒矯正前後外觀及牙齒變化




備註:療程效果因個人狀況而有所差異,請諮詢專業醫師為您制定合適的療程。


