/ 君君與珊醫師
回想第一次見到君君,那時候的她是個小小的中部記者,整個人充滿活力與朝氣 ! 可愛的她在諮詢過程中,一直擔心發音而有點猶豫該不該矯正(笑
矯正期間剛好君君調到北部重點戰場! 生活變得超級忙碌,為了不讓她來回奔波那麼辛苦,我們幫君君安排兩個月回診一次 ( 當然也是因為她牙套戴的超好! 整個療程只花一年半的時間就平穩順利的結束囉~

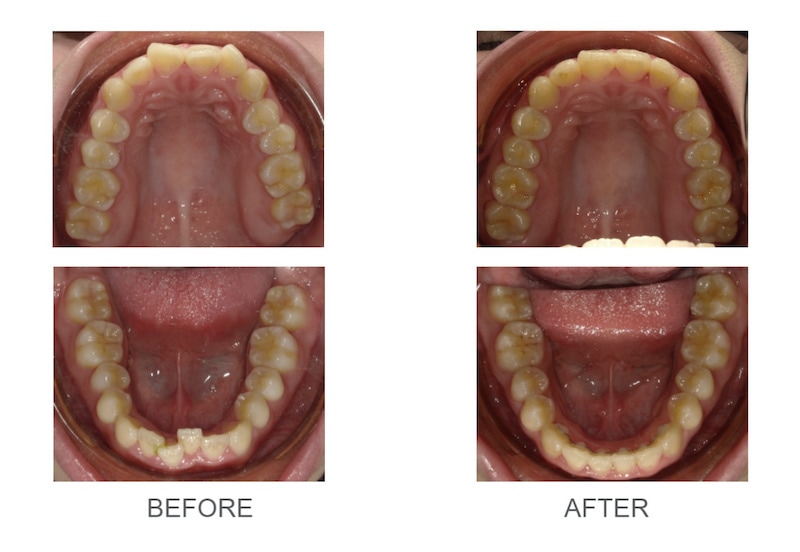
/ 主訴
牙齒擁擠
/ 治療方式
上下排一起少量後退且排齊
隱適美矯正牙齒過程
牙齒矯正前後外觀及牙齒變化


最值得開心的是君君最近站上主播台囉(太美啦! 事實證明戴上牙套後的發音及口條完全不會受影響),看著君君邁向人生的新階段,珊醫師實在太感動啦~❤️
備註:療程效果因個人狀況而有所差異,請諮詢專業醫師為您制定合適的療程。


