/ 阿懋與Dr珊
「默而識之,學而不厭,誨人不倦。」
一個熱愛教育且關愛孩子的老師,總是能在茫茫人生道路上,指引我們,你是否也遇過這樣的人生導師呢?這次,與我們相遇的大男孩,是個總是充滿微笑且專注於特殊教育的暖男老師 – 阿懋
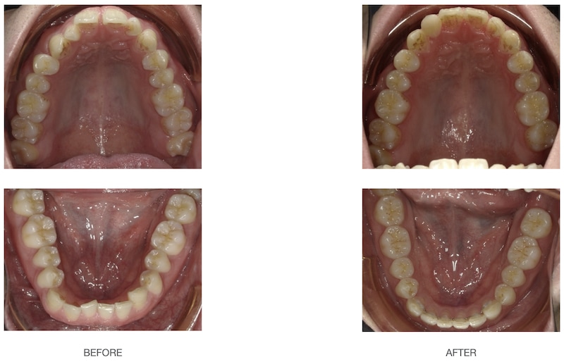
阿懋是典型的兔寶寶門牙 ,牙齒擁擠且嚴重深咬,這樣的療程需要密切且確實的配合!
矯正過程中也剛好遇上阿懋要準備考資優特教的研究所,雖然壓力很大,時間很緊迫,但他總是笑笑的~積極配合我們的每一個矯正計畫,真的是個韌性堅強的大男孩呢 (笑

/ 主訴
門牙牙縫、深咬、牙齒凌亂、前牙反咬、第二類咬合ClassII
/ 治療方式
上排空間調整 上下前牙押入改善深咬 第二類咬合橡皮筋配戴
隱適美矯正牙齒過程
牙齒矯正前後外觀及牙齒變化



教育工作者不只是傳遞知識,更是影響孩子深遠的一個職業,我們總是希望盡我們所能,幫助老師們順利且省事的完成矯正。
備註:療程效果因個人狀況而有所差異,請諮詢專業醫師為您制定合適的療程。


