/ 小庭與Dr珊
對小庭的第一印象是個可愛的女生(笑
諮詢的時候小庭說在意自己的牙齒很亂,而且嘴巴凸凸的,原本還有點擔心怕看牙醫的她能不能順利挑戰拔牙治療,沒想到整個矯正療程順利到不可思議!
因為小庭的超高配合度,高難度的四顆小臼齒拔除治療及漫長的 80 幾副牙套都難不倒她呢!

/主訴
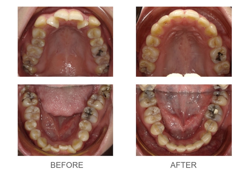
牙齒凌亂擁擠,側臉輪廓嘴巴較凸
/ 治療方式
利用拔除上下四顆小臼齒的空間,將牙齒排整齊並進而改善側臉輪廓
隱適美矯正牙齒過程
牙齒矯正前後外觀及牙齒變化



小庭一路平穩地戴完牙套,連橡皮筋、小裝置都沒用上呢!
很開心能讓小庭帶著甜甜的笑容結婚去,珊醫師真的太感動了🥰
備註:療程效果因個人狀況而有所差異,請諮詢專業醫師為您制定合適的療程。


