/ Apple與珊醫師
身為Range rover金牌業務的Apple,每次來到診所總是伴隨著超強氣場。她曾經諮詢其他家矯正專科,卻被診斷為高難度case,因而打退堂鼓遲遲不敢矯正,直到與珊醫師邂逅~發現矯正治療方式比她想像的簡單許多,就這樣踏上為期一年四個月隱形小花之旅!

/ 主訴
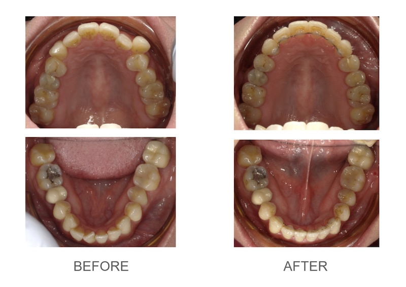
牙齒擁擠 犬齒高且突出(小虎牙) 前牙局部反咬
/ 治療方式
搭配TAD錨定裝置及橡皮筋創造空間排齊小虎牙
隱適美矯正牙齒過程
牙齒矯正前後外觀及牙齒變化


不到一年半這麼短的時間內,Apple就從虎牙妹化身為閃閃動人的銷售天后! 祝福Apple業績長紅並早日給我們好消息囉!
備註:療程效果因個人狀況而有所差異,請諮詢專業醫師為您制定合適的療程。


