/ 鄭醫師與珊醫師
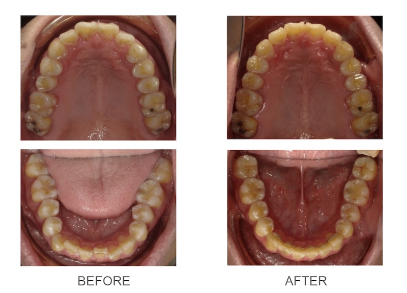
曾經做過傳統矯正的鄭醫師,因為後續沒有乖乖配戴維持器,最後維持器就再也戴不上去了! 因為這樣,鄭醫師下定決心重新矯正,將在意的門牙角度問題及牙齒形狀一次調整好!
矯正期間鄭醫師也跟我們分享清潔隱形牙套的神奇小工具~~超音波振盪機 : 小從牙套、眼鏡,大至蔬菜都可以輕鬆清乾淨,真是太神奇了!

隱適美矯正牙齒過程
牙齒矯正前後外觀及牙齒變化



療程結束後的鄭醫師整個人更帥氣而且年輕許多! 期待鄭醫師未來能推薦我們更多神奇好物! 😉
備註:療程效果因個人狀況而有所差異,請諮詢專業醫師為您制定合適的療程。


