【文學系女孩小汾的輕矯正之旅】
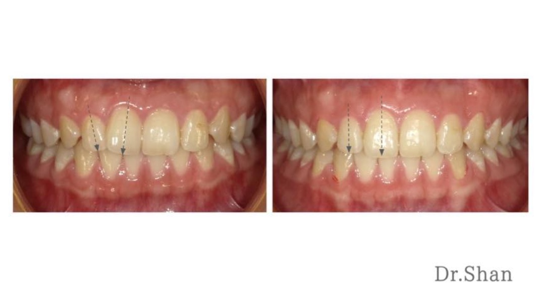
大學生小汾當初來諮詢時牙齒凌亂度不高,只有上門牙些微的不對稱,沒有太明顯的凌亂、也沒有太大的咬合問題(珊醫師真心覺得美女對自己的要求都很高啊😆)
面對追求完美的小汾,我們直接建議輕矯正隱適美Lite方案,既能全口調整,也符合經濟效益!不到一年的時間小汾順利完成矯正,能帶著美美的微笑渡過愉快的大學生活真是太棒了!!✨


另外,最近很多大學生及社會新鮮人來諮詢時,因為預算有限而忐忑不安,聽到隱適美有Lite輕矯正方案非常驚訝!在他們的認知裡,隱適美跟輕矯正感覺是不同的支線及價位,在我們諮詢師熱情的解釋後,大家才了解原來隱適美也有針對較單純案例的輕矯正Lite療程。
網站裡有針對隱適美Lite方案一系列的說明,快去看看吧:
備註:療程效果因個人狀況而有所差異,請諮詢專業醫師為您制定合適的療程。


