傳統牙套和隱形牙套的差異一直是 ptt 上許多網友在乎的問題,珊醫師之前也特地從牙齒矯正專科醫師的角度寫了一篇「隱適美隱形牙套 v.s. damon戴蒙矯正器 優缺點大評比」的文章,文中有從治療效果、美觀性、疼痛感、回診頻率等面向為大家詳細說明隱適美隱形牙套與戴蒙牙套的不同,正在找矯正牙齒方式的你一定要看過!!
最近來台中找楊念珊醫師矯正牙齒的患者中,有不少齒列不正或暴牙的患者,今天小編借花獻佛,推薦一篇帥氣的 Angus 分享在部落格的台中隱適美隱形牙套心得,戴了隱形牙套一年半,現在的他已經有非常整齊的齒列,與人對談和笑起來也更有自信了~~
Angus 在隱適美矯正過程的心得中有詳細比較了隱適美隱形牙套和傳統牙套(戴蒙牙套)的不同,也有他做隱適美牙齒矯正前後的樣子哦!如果您也有齒列不正影響笑容美觀性的問題,推薦看看他的隱適美牙套心得,和他給楊念珊醫師的評價唷!
— (以下是 Angus 的隱適美隱形矯正心得)
比傳統鋼牙矯正方便太多的 Invisalign隱適美 隱形牙套一年全記錄,美觀又舒適讓你悄悄變美,且矯正期間也可以大口吃美食,常見問題小技巧分享,隱適美官方認證白金菁英講師楊念珊醫師!
以往想要擁有一口整齊美齒,都得歷經長達幾年的醜醜大鋼牙牙套矯正期,現在有了 Invisalign隱適美,不僅牙套近乎隱形、不說的話朋友幾乎不會發現,回診不須太頻繁,且矯正時期也能放心大口吃美食,不得不說真的太方便了,輕鬆就能擁有一口如明星般整齊亮眼的牙齒啊!
這篇為你們整理 Angus 配戴 Invisalign隱適美 一年半的全記錄~

在戴了一年半的 Invisalign隱適美 隱形矯正後,就已經擁有非常整齊的齒列,也讓人可以更有自信的與人對談大笑~


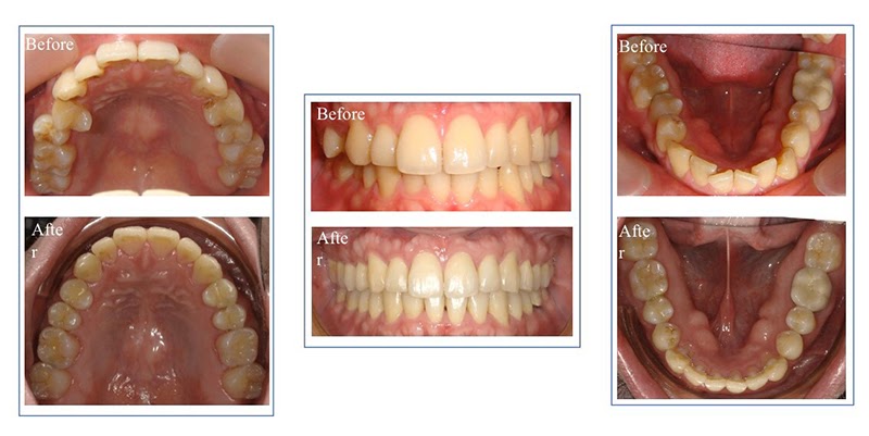
不多說直接放上Angus配戴 Invisalign隱適美 矯正前後的對比照片,可以看到矯正前的齒列有不少前後錯位的問題,雖然沒有非常嚴重的暴牙,但這種有些偏前有些偏後的齒列也讓人很困擾,除了看起來亂亂的之外,拍照時因為錯位的關係,會讓那些偏內的牙齒因為光源被擋住,看起來好像缺牙一樣,就像左圖中左上方和右下方那邊都是~右圖則是戴了一年半的 Invisalign隱適美 後,整個變得超整齊!


在認識 Invisalign隱適美 之前,Angus也曾考慮過傳統鋼牙牙套矯正,但是後來才發現 Invisalign隱適美 真的美觀方便太多,這邊幫你們整理一下 Invisalign隱適美 和傳統牙套矯正的主要差異~
▶傳統牙套矯正
✓美觀性:明顯且突兀的大鋼牙
✓舒適性:異物感較重,且容易刮傷口腔、把嘴巴勾破皮
✓總療程時長:至少兩年,平均需時比Invisalign隱適美長
✓回診:一~三週就務必回診一次
✓進食狀況:第一週幾乎只能吃流質食物,二到三周開始慢慢恢復,一個月才能正常進食
▶Invisalign隱適美
✓美觀性:近乎隱形的牙套,不容易被發現,讓你默默變美
✓舒適性:相對舒適許多,也不會刮嘴
✓總療程時長:每天配戴約20小時,若照時配戴則平均療程需時較傳統牙套短
✓回診:一個月~一個半月回診一次檢查+拿牙套即可
✓進食狀況:吃飯時取下,所以可以正常大口吃美食不影響
光是這樣簡單的比較,就可以看出 Invisalign隱適美 的優勢,但除了選對矯正方式之外,想更快速達到矯正效果的話還有一點非常重要的變因,各大國外 Invisalign隱適美 研究報告都指出:
影響Invisalign隱適美治療效率最大關鍵,取決在隱適美矯正醫師的經驗及隱形矯正的病例數!
也因為這樣,我們最後選擇了台中 Invisalign隱適美 矯正權威醫師:Dr. 珊-楊念珊醫師,她不僅是齒顎矯正專科醫師,更是Invisalign隱適美官方認證的台灣代表白金菁英級講師!
既然都要花大錢了,當然就要找最好的。

Dr. 珊楊念珊醫師的診所就位在台中市西區五權西二街,環境整潔明亮、裝潢也很新穎,以前我自己超怕看牙醫,每次走進牙醫診所都聞到濃濃的藥味,但在楊念珊醫師診所完全沒有這種疑慮,給人感覺舒適愜意,也讓本來緊張的心情放鬆不少。

最新2019年 Invisalign隱適美 在台灣舉辦的隱適美高峰會議,集結了來自愛爾蘭、香港、台灣等各地的醫師,楊念珊醫師則是受邀擔任講師,就知道她有多厲害了吧!

第一次的 Invisalign隱適美 諮詢,醫師會先看過牙齒齒列狀況後進行估價,確定要施作療程後,醫師就會為你進行完整清楚的口腔齒列掃描,盡管楊念珊醫師已經是權威級講師經驗豐富,為人態度卻還是很親切友善,完全不會擺架子,過程也很溫柔細心,我們因為是第一次做 Invisalign隱適美,問題多了一點,楊念珊醫師也是都耐心詳細為我們解說~

Angus起初的牙齒狀況,上下排都有前後錯位需要矯正。

雖然不少牙醫診所都有在做 Invisalign隱適美,但可不是每一家牙醫診所都有這台口掃機設備唷!
畢竟這一台也是要價不菲,如果沒有口掃機的話就只能靠傳統的印齒模方式,相較之下,利用先進的口掃機掃描就能即時看到各顆牙齒3D立體的狀況,也能使用精密的電腦運算,算計出後續的矯正計畫。

做完口腔掃描後,可以馬上即時看到電腦運算出做完矯正療程後的齒列樣貌,讓人不禁讚嘆現在科技也太發達了吧哈!

齒列掃瞄確定沒問題後,楊念珊醫師會幫忙將資料傳送回美國 Invisalign隱適美,大約一個月內就會拿到第一副牙套及完整的專屬矯正計畫,甚至還有動畫可以看到你每週、每副牙套的改變與進度,這部分讓人大感安心,也是傳統牙套無法做到的。


原廠規劃出的 Invisalign隱適美 矯正進程~

終於要正式展開 Invisalign隱適美 隱形矯正牙套的生活啦!
Invisalign隱適美 是源起於美國的隱形牙套代表性品牌,所以很多人幾乎都把隱適美直接當成隱形牙套的代稱,但其實坊間還有其他隱形矯正的牌子,購買療程之前一定要認清楚是否是美國 Invisalign隱適美 喔!
牙套部分則是每一副配戴一週,依照個人狀況不同會拿到不同數量的牙套,Angus這次總共規劃分為三階段,第一階段是49副牙套,是最主要的設計,主要是牙齒之間大幅度的移動,第二階段和第三階段分別是10副與9副,都是為了細節調整牙齒的角度和咬合,其實整個療程原廠都會一開始就幫忙規劃好,療程過程中楊醫師會再依據各人實際狀況做微調。

Invisalign隱適美 還有一項很大的優點,就是回診時間很彈性,因為每一次回診都可以帶幾副牙套回去,一週的時間到了就可以自己更換為下一副,所以即使人不在國內、或不方便太頻繁的回診,都可以多拿幾副牙套回去,完全不影響矯正的進度。
像我們平常住台北,卻選擇台中的楊念珊醫師,就是因為 Invisalign隱適美 不需要那麼頻繁的回診,一兩個月再回診一次也沒關係。

第一次還會拿到兩個不同顏色的牙套攜帶盒,一個裝現在正在戴的牙套,另一個盒子就裝上一套牙套,主要是怕如果不小心把正在戴的牙套弄丟的話,還可以回去繼續戴上一副牙套。
PS.因為吃飯時需要把牙套取下,所以Angus有時候牙套放旁邊或衛生紙上,吃完飯就很容易忘記帶走~最好還是養成好習慣一拿下來就放進牙套攜帶盒中。

透明牙套上的小花樣式是品牌防偽標誌,要認清楚喔。

除了隱形牙套本體之外,還會拿到這個 隱適美Aligner Chewies,最好是每次戴上牙套後都要咬這個Chewies,這樣可以藉由咬合的力量將牙套中的空氣排出,讓牙齒和牙套更加密合,矯正效果也會更好喔!

接著是戴上 Invisalign隱適美 隱形牙套的樣子,其實不說的話真的完全不會發現耶,很多朋友根本不知道、也沒發現Angus有在戴牙套矯正,對於愛美的女生來說,完全可以悄悄變美不用擔心!


一開始前幾次戴牙套比較需要花時間熟悉,之後熟練後就很好戴,接著固定一週更換一副新牙套,每次更換新牙套剛戴上時會稍微酸一點,不過戴了一年半的Angus也有發現小訣竅:
每次換一副新牙套時建議可以晚上換,因為如果在白天換時牙齒會感覺比較酸一點,如果晚上換睡覺睡著後就感覺不到,隔天早上感覺就不會那麼痠喔~
另外,有些人可能矯正過程中會需要拉開牙齒間的距離,這樣就會需要使用牙線清潔,不過比起傳統牙套Invisalign隱適美這樣的清潔還是方便很多阿!

室內光線戴著隱形牙套的樣子,也是看不太出來有戴牙套~

接著大約戴了幾套牙套後,會需要裝上輔助器,醫師會評估各人狀況什麼時候會適合’’黏Attachment豆豆’’上去,就是在牙齒上黏幾小顆白色豆豆以及像是小金屬掛勾的東西,可以讓牙套更密合、拉力更完整,其實黏完後也不怎麼明顯,是要直接用手摸才比較能感覺到,金屬掛勾則是黏在蠻裡面,所以也不容易發現。

輔助器橡皮筋其實只要在裡面的上下兩側拉上就可以了,這張是為了讓你們看使用輔助器拉橡皮筋才把她拉出來,不然平常拉上橡皮筋後,也是要裂開嘴大笑時才會發現橡皮筋的蹤影。

戴了一年多後,現在齒列已經非常整齊啦!
本來偏內側的牙齒都被推出來了,拍照時也是一整排美齒不再是好像缺牙的樣子,連我看了都好感動哈~

相較起傳統鋼牙牙套,Invisalign隱適美的隱形牙套真的方便又美觀很多,同時也是多虧了官方認證的台灣代表白金菁英級講師楊念珊醫師的高超技術,才讓Angus這麼快就擁有如此整齊的美齒,以上就是這次一年半的Invisalign隱適美全記錄,推薦給愛美的各位啦!

小編補充:
看完 Angus 的隱適美心得,若你和他一樣,雖然沒有嚴重暴牙,但覺得前牙凌亂想快速矯正,推薦可以看看「隱適美 LITE」這篇文章,珊醫師有為大家詳細介紹隱適美 Lite 方案與常見 Q&A,文中也有透過一些隱適美 Lite 案例,分享隱適美矯正前後的照片,大家可以看看自己的牙齒有沒有類似的情況哦~~
另外,在矯正評估過程中讓 Angus 讚嘆的這台先進儀器 — iTero 口掃機 是隱適美隱形牙套矯正最佳輔助利器。珊醫師在「隱適美 iTero 口掃機」這篇文章中也有為大家說明她為什麼會選擇 iTero 口掃機來輔助隱適美隱形矯正治療。
原文連結:
Livia Wonderland薇笑樂園 -【INVISALIGN隱適美全記錄】一年隱形矯正透明牙套和傳統鋼牙套比較/矯正專家楊念珊醫師!


